Hero photograph
Vaiola hospital, Nuku’alofa, Tonga
 

TONGAN ORTHOPAEDIC SURGICAL PROJECT

Rtn Peter Hodge —

The Rotary Club of Wanganui North is working to upgrade the orthopaedic surgical services at Vaiola Hospital in Nuku’alofa, Tonga.

Article by Rtn Tony Hodge, Rotary Club of Wanganui North, International & Medical Projects Committee.

The Rotary Club of Wanganui North have been working on its Tongan Orthopaedic Surgical Project for the past three years. Their goal is to upgrade the orthopaedic surgical services at Vaiola Hospital in Nuku’alofa, Tonga. This has long been the vision of John Van Dalen, a member of the Club and a well-known Whanganui Orthopaedic Surgeon.

Vaiola hospital, Nuku’alofa, Tonga

The total value of their Tonga Project is $120,000. The project is fully funded by a Rotary Foundation Global Grant and a New Zealand Aid Grant, along with support from Rotary Wanganui North, Rotary Whanganui and other Rotary Clubs in New Zealand and overseas.

Dr Bill Tangi, Head Surgeon Vaiola hospital, Nuku’alofa, Tonga on the right with Dr John van Dalen visiting Orthopaedic Surgeon centre and trainee surgeon Doctor Marina Tuinukuafeo on the left.
An Orthopaedic surgical procedure of an ankle fracture at Vaiola hospital, Nuku’alofa, Tonga with Mr John van Dalen centre surrounded by a local supporting surgical team.

On 29 August Vaiola Hospital received the latest shipment of orthopaedic surgical equipment organised by Rotary Whanganui North. The 8 boxes, with the value of NZ$ 30,000, were shipped by the overseas supplier (the market value being 4 to 5 x times greater).

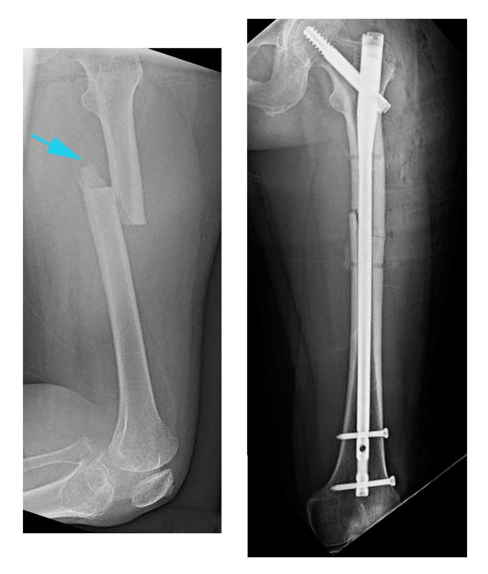
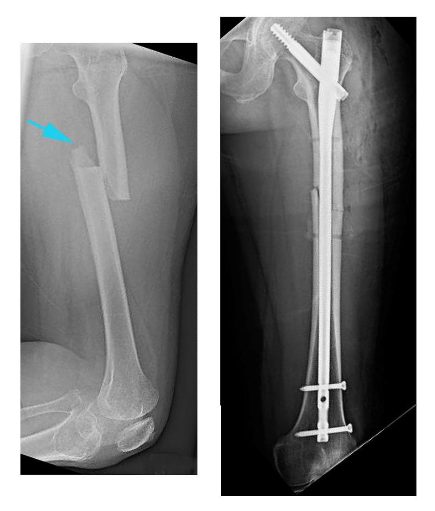
These X-rays show a broken thigh bone on the left, with modern day intra medullary rod fixation of the fracture on the right.

X-rays show a broken thigh bone on the left with modern day intra medullary rod fixation of the fracture on the right.

The outdated technique of traction for six weeks to treat such fractures, which has till recently been used in Tonga, will now be supplanted by more modern-day fixation techniques.

This has been made possible through the acquisition of a trauma table donated by Whanganui hospital (in 2019) and equipment (2022), as well as the input from visiting surgeons. The purchase of equipment has come about through generous donations from NZ Aid, The Rotary Foundation and Whanganui North Rotary club.

A portion of the inventory of Orthopaedic surgical equipment purchased for Tonga
Please click on the above inventory to magnify it.

Arrangements are being made to provide the medical team at Vaiola Hospital with ongoing training in orthopaedic surgery. Training of a resident Tongan surgeon, to come to Whanganui, New Zealand to upskill in fracture management, is being arranged for 2023-24.

Rotary Wanganui North estimate the Project will take another two to three years to complete.